! NEUES DESIGN NOCH IM AUFBAU !
   
 
lo   ro
 

 

 

PROFIL   


 

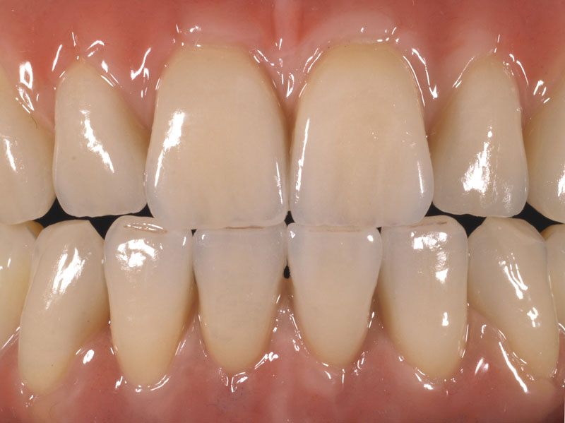
Ästhetische Korrekturen mit individuell gefertigten Keramikschalen gehören ebenfalls zu unseren herausragenden Leistungen. Ganz nach Ihren Wünschen gestalten wir ihre Zahnform und Zahnfarbe in Keramikschalen, die auf ihre Zähne geklebt werden.

Sie haben bei uns die Möglichkeit vom Endergebnis eine Vorstellung zu bekommen, indem Sie eine provisorische Variante über das Wochenende tragen und Einfluss nehmen auf die endgültige Ausführung. Bis hin zu noninvasiven Techniken bei denen Ihre Zähne nicht beschliffen und durch Aufkleben von individuell gefertigten Keramikchips nach Ihren Wünschen optimiert werden.

       
lu     < ZURÜCK   WEITER > ru